Can Veneers in Dubai Be Removed Later If I Change My Mind?

Wondering if dental veneers in Dubai are permanent or removable? Learn what happens if you change your mind, how removal works, and what to expect long-term.

Jul 10, 2025 - 16:25
 12
Can Veneers in Dubai Be Removed Later If I Change My Mind?

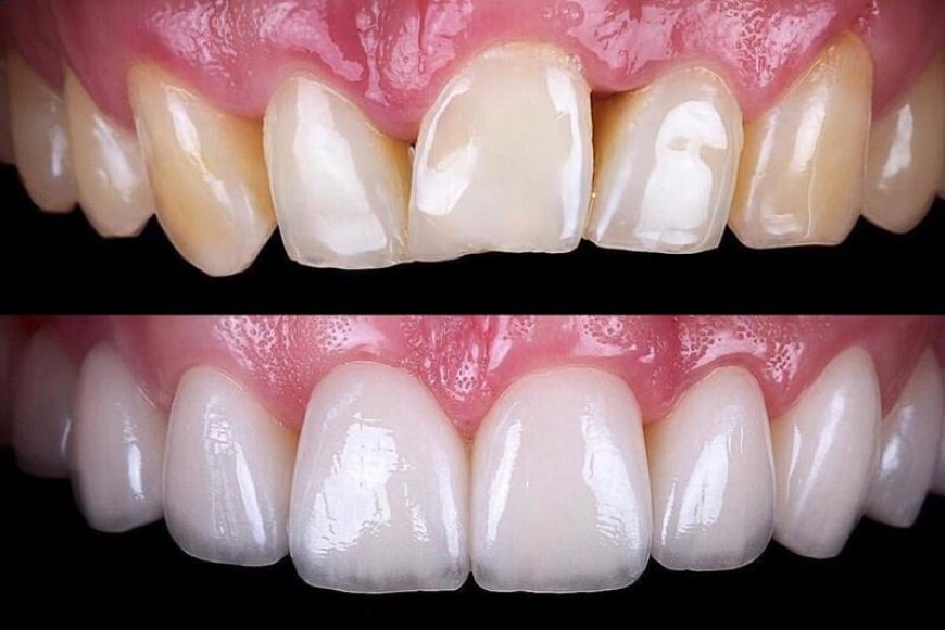
Getting Dental veneers (????? ???????)can be a life-changing cosmetic decision. Veneers offer a flawless, confident smile by covering imperfections like chips, gaps, discoloration, or uneven teeth. But what if you change your mind later? Can veneers be removed safely without harming your teeth?

This is a valid concern for anyone considering veneers. While veneers offer dramatic and long-lasting improvements to your smile, they do come with important considerations. Lets explore what veneer removal involves, whether its possible, and what your options are if you ever decide to reverse or modify your treatment.

Understanding How Dental Veneers Work:

Veneers are ultra-thin shells, often made from porcelain or composite resin, that are custom-designed to bond to the front surface of your natural teeth. This procedure enhances the shape, size, and color of your teeth to improve overall aesthetics.

Before placing veneers, a small amount of enamel is usually shaved off your teeth to ensure a perfect fit and a natural look. This step is what makes most veneer treatments irreversible.

Are Veneers in Dubai Permanent?

In general, yesdental veneers in Dubai are considered a permanent cosmetic treatment. That doesnt mean they last forever, but it does mean that once your natural enamel is removed, the teeth will always need some sort of coverage, whether it's new veneers or another restoration.

Porcelain veneers typically last between 10 to 15 years, while composite veneers may need to be replaced sooner. Over time, you can replace them, but you usually cannot go back to your original teeth once the procedure is done.

Can Veneers Be Removed If I Change My Mind?

Technically, veneers can be removed, but only under specific circumstances. If youve had non-prep or minimal-prep veneers placed, which involve little or no removal of enamel, then it may be possible to remove them with minimal impact on your natural teeth.

However, with traditional veneers, enamel is removed before bonding, making the process irreversible. In such cases, removing the veneers leaves your teeth vulnerable, and they will require a new set of veneers or another type of dental restoration for protection and function.

What Happens If Veneers Are Removed?

Heres what you can expect if veneers are removed:

  • Assessment of tooth condition: The underlying teeth may be more sensitive due to enamel removal.

  • Restorative options: Youll need to replace the veneers with new ones or consider other alternatives like dental crowns or bonding.

  • Aesthetic changes: The original shape or color of your teeth may not look the same as before due to the reshaping process done during veneer preparation.

It's essential to know that once traditional veneers are placed, you are committing to a lifetime of dental coverage for those teeth.

Why People Consider Veneer Removal?

While most people are highly satisfied with their veneers, some may consider removal due to:

  • Aesthetic changes or preferences

  • Chipping or damage

  • Gum recession or oral health issues

  • Desire to switch to a different material or shape

In such cases, instead of completely removing veneers and going back to natural teeth, the focus is often on replacing or updating the veneers to suit your current needs.

How to Make the Right Decision?

Before getting dental veneers in Dubai, its crucial to have a clear understanding of the commitment involved. To ensure long-term satisfaction:

  • Discuss long-term expectations clearly

  • Understand the difference between porcelain and composite veneers

  • Ask about prep vs. no-prep veneer options

Making an informed decision upfront can help you avoid any regrets or second thoughts later.

Frequently Asked Questions:

Can I remove my veneers and go back to my natural teeth?

If enamel was removed during the placement of veneers, then noyour teeth will always require some type of coverage. If you received no-prep veneers, removal may be possible without major impact.

Are there reversible veneer options?

Yes, no-prep or minimal-prep veneers are designed to be more conservative and may be reversible in some cases. However, they are not suitable for everyone.

What if I dont like how my veneers look?

If youre unhappy with the appearance, veneers can often be replaced or adjusted. Cosmetic improvements can typically be made without full removal.

Can veneers be replaced with crowns?

Yes, in some cases, if damage or wear is significant, your veneers can be replaced with crowns for more coverage and strength.

How long do veneers last before needing replacement?

Porcelain veneers can last 10 to 15 years or longer with proper care. Composite veneers may need replacing sooner, often around 5 to 7 years.

Final Thoughts:

Choosing Dental veneers (????? ???????)is a significant yet rewarding decision for many people seeking a confident, beautiful smile. While veneers arent typically removable in the traditional senseespecially if enamel has been removedmodern options, skilled application, and proper planning can make veneers a highly successful long-term solution.

If you're worried about the permanence of veneers, discuss alternative materials or no-prep options that offer more flexibility. At the end of the day, the goal is to feel happy and confident with your smileand with the right approach, you absolutely can.

royaldubai Enfield Royal Clinic Dubai Are you looking for a stunning makeover? Or do you wish to feel your very best from the inside and out? Enfield Royal Clinic offers a variety of popular cosmetic procedures and treatments to transform lives and aesthetics, addressing your unique concerns.